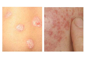
由于许多人对于牛皮癣疾病没能有个正确的认识,导致病发后许多人没能及时的进行有效治疗而导致许多危害发生。那么,牛皮癣不治疗会产生哪些危害?

一、营养物质的大量流失:在患上牛皮癣后患者都会出现长期大量鳞屑脱落的现象,而这样就会造成患者体内营养物质的丢失,导致维生素及叶酸丢失,如果皮损多年不治疗则还会减少全身的蛋白质,甚至导致良性贫血。常常表现为乏力、倦怠、面色苍白等等。
二、关节损害:如果患的是关节型牛皮癣,则还很可能导致损害关节,诱发类风湿性关节炎。常常给患者带来关节疼痛的症状,还会因此而影响正常活动,甚至导致关节发生积液或是变形,如果牛皮癣长时间得不到正确的治疗,还可能引发其他的严重疾病,所以大家一定不要掉以轻心。
三、脏器损害:若是病发的类型是泛发性脓疱型,则如果不及时治疗还可能会损伤到内脏器官,造成肝肾等系统受到损害,甚至还会因继发感染、电解质紊乱或衰竭而威胁生命。
很多人在出现了牛皮癣的症状后都不是足够的重视,认为过几天就好了,所以也没有及时进行治疗,较后造成严重的后果,因此建议大家还需引起重视。
温馨提醒:预约成功患者,系统会将专家号和医院地址下发到您的手机,请注意查收。
贵阳市南明区玉厂路205号
(五眼桥往东50米)
专家热线:0851-85768226
门诊时间:8:00-19:00
(节假日不休 )